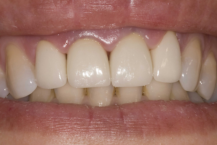
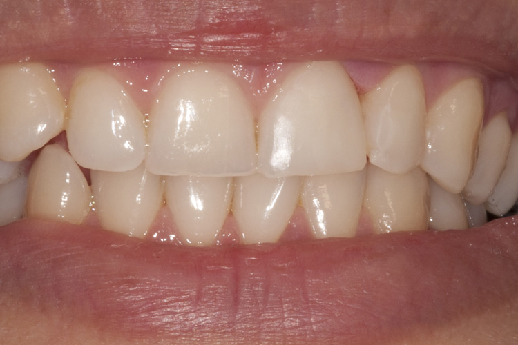
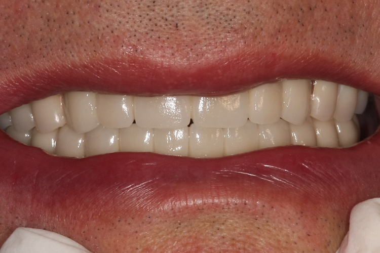
Vorher-Nachher Galerie

Klicken Sie auf die Miniaturbilder für größere Ansichten.

 

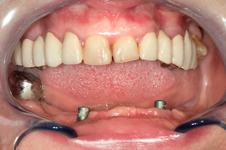
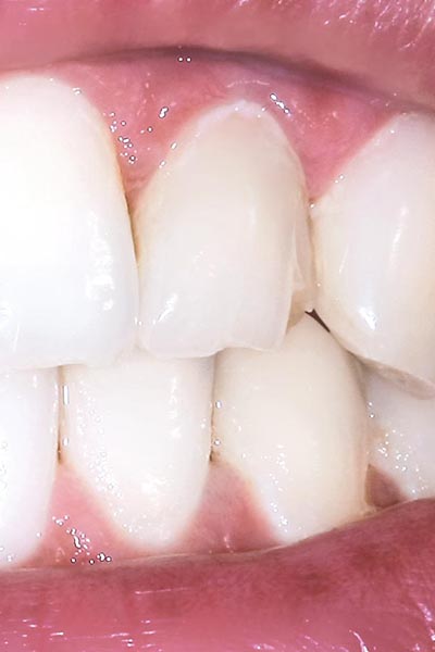
IMPLANTATION

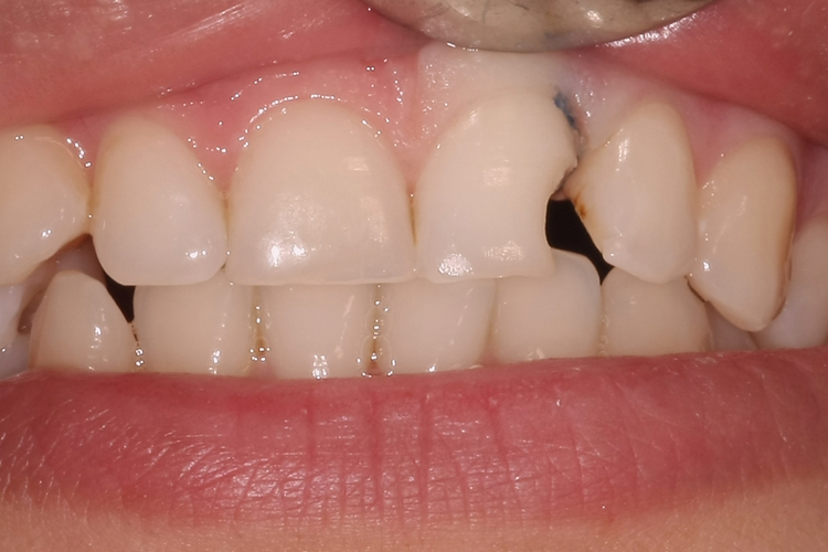
IPS E.MAX PRESSKERAMIK

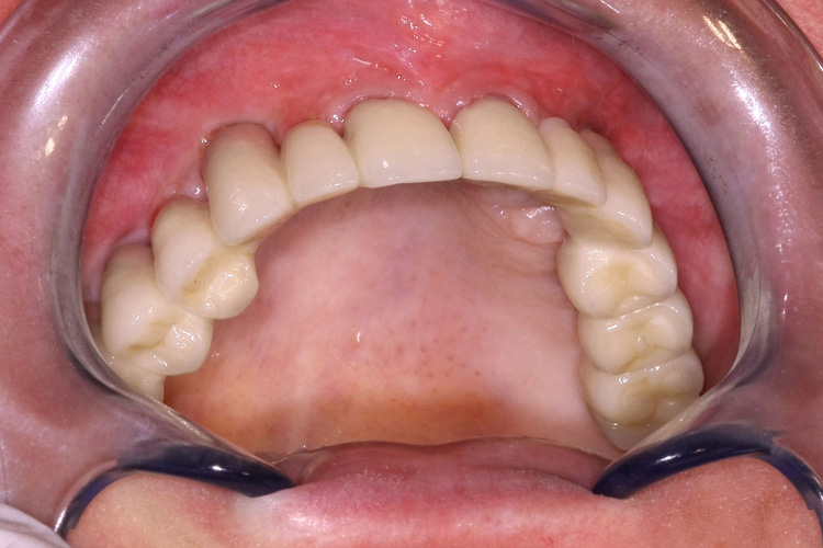
ZIRKON-KERAMIK FESTSITZENDER ZAHNERSATZ

METALL-KERAMIK FESTSITZENDER ZAHNERSATZ

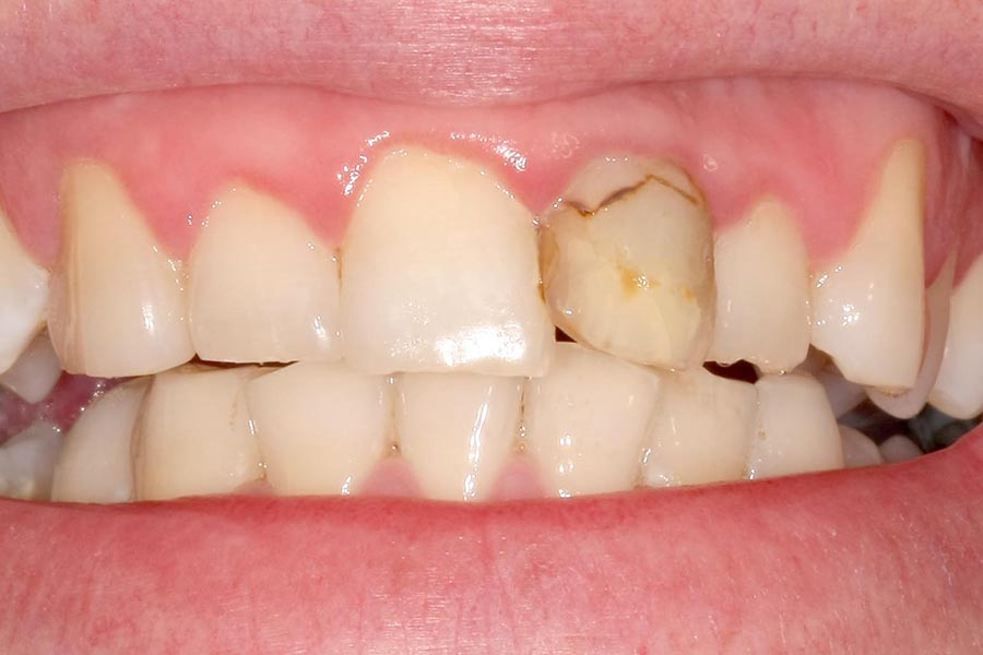
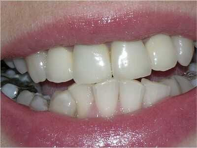
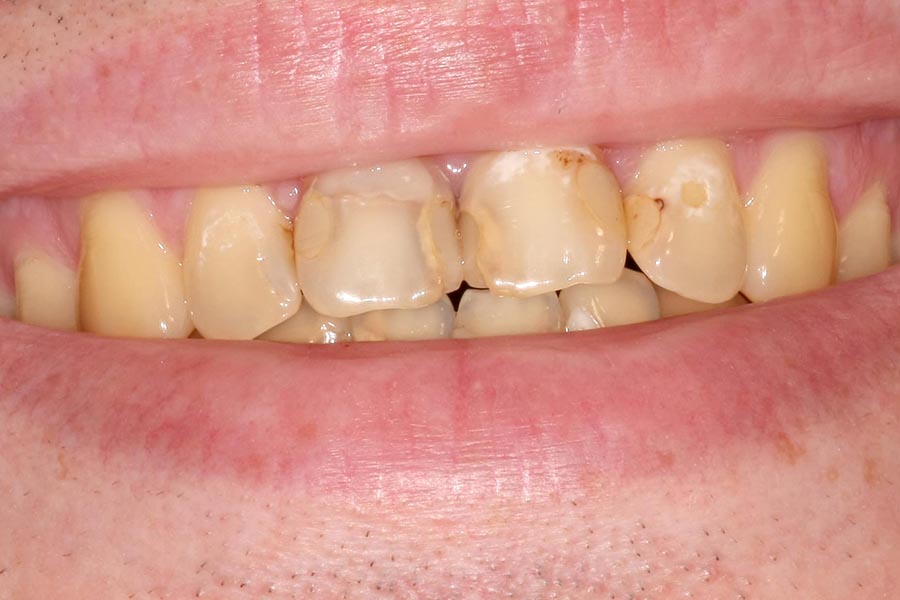
PRESSKERAMIK FRONTZÄHNE

PRESSKERAMIK SEITENZÄHNE

DIREKTE ZAHNFARBIGE FÜLLUNG

PRESSKERAMIK INLAY

ZAHNBLEICHEN

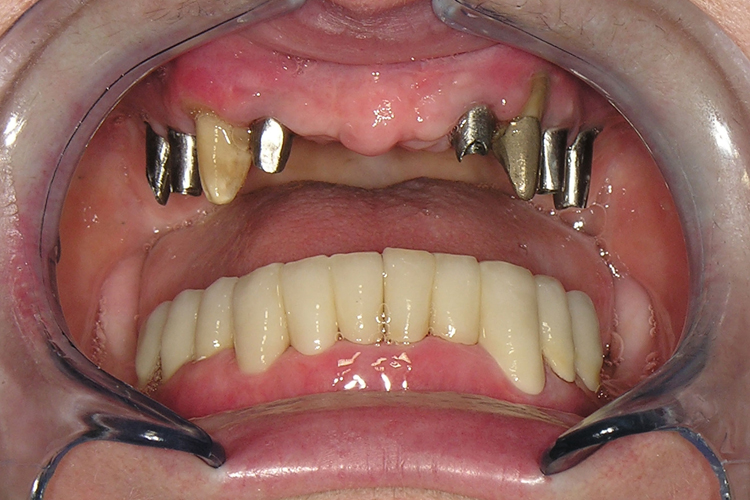
HERAUSNEHMBARER ZAHNERSATZ